Rontgen Gigi

Langkah Awal Untuk Deteksi Permasalahan Gigi

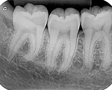
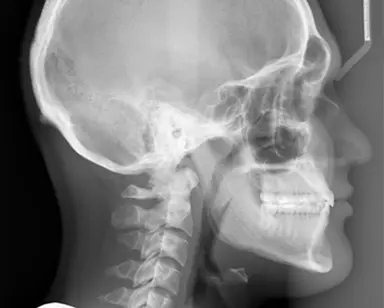
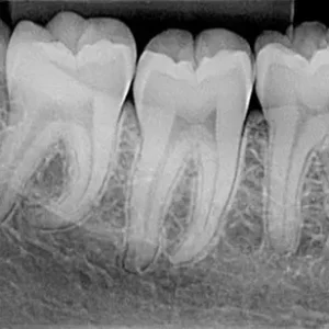
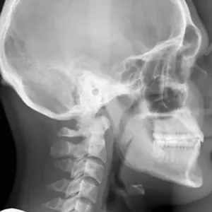
Beberapa permasalahan gigi mungkin tidak dapat terdeteksi dengan hanya melakukan pemeriksaan langsung. Rontgen gigi akan sangat membantu untuk mendeteksi kerusakan yang tidak terlihat secara klinis serta mengevaluasi keadaan gigi secara lebih mendalam. Dengan rontgen, dokter gigi dapat merancang rencana perawatan yang lebih tepat, efektif, dan menyeluruh.

Rontgen Gigi Di ETSA Medika

Perencanaan Perawatan Gigi yang Lebih Akurat dan Efisien

Di ETSA Medika, kami memanfaatkan teknologi rontgen terkini yang didukung oleh tim dokter spesialis berpengalaman. Dengan kemampuan untuk mengidentifikasi dan mengevaluasi kondisi gigi secara menyeluruh, kami memastikan setiap rencana perawatan dirancang secara tepat dan efisien, untuk mencapai hasil terbaik dengan lebih mudah.

Mengapa Memilih ETSA Medika untuk Rontgen Gigi

Teknologi Rontgen Terkini

ETSA Medika menggunakan peralatan rontgen berteknologi canggih untuk memastikan hasil yang akurat dan aman. Dengan paparan radiasi rendah, kesehatan Anda tetap menjadi prioritas utama.

Dokter Spesialis Radiologi Kedokteran Gigi

Kami memiliki dokter spesialis radiologi yang berpengalaman dalam menginterpretasikan hasil rontgen dengan presisi. Hal ini memastikan diagnosa yang tepat untuk mendukung rencana perawatan terbaik.

Tempat Nyaman dengan Pelayanan Ramah

Kami mengutamakan kenyamanan Anda. Dengan suasana klinik yang modern dan staf yang ramah, setiap kunjungan ke ETSA Medika menjadi pengalaman yang menyenangkan.

Pelayanan Komprehensif dan Terpercaya

Dengan gabungan teknologi modern, keahlian dokter, dan pelayanan menyeluruh, ETSA Medika adalah pilihan terbaik untuk kebutuhan rontgen gigi Anda.

Our Treatment Result

See what friendly and compassionate care